在南昌,有这样一家备受瞩目的口腔机构——南昌鼎植口腔门诊部(乐卖特店)。它是上海鼎植医生集团在江西布局的初家口腔连锁机构,坐落在南昌市青山湖区北京东路乐卖特购物广场一楼。自2019年成立以来,这家现代化口腔医疗机构就以其专精的服务和良好的口碑,在南昌地区口腔医疗领域占据了一席之地。

【南昌鼎植口腔门诊部(乐卖特店)怎么样?】
南昌鼎植口腔门诊部(乐卖特店)是一家集多种口腔专精服务于一体的综合性口腔机构。这里涵盖了种植牙、牙齿矫正、美学修复、儿童齿科等多项专精服务。门诊部配备了数字化诊室和儿童主题诊室,为不同需求的患者提供了舒适的就诊环境。数字化诊室利用精良的数字技术,能够更精细地进行口腔检查和诊断,为后续的治疗提供有力支持。而儿童主题诊室则充满了童趣,墙壁上可爱的卡通图案、舒适的儿童专用牙椅等,让孩子们在轻松愉快的氛围中接受口腔治疗,有效缓解了孩子们对看牙的恐惧。同时,门诊部严格执行科学消毒流程,从诊疗器械的消毒到诊室环境的清洁,每一个环节都做到严格把控,致力于为患者提供舒适安心的诊疗体验。

【南昌鼎植口腔门诊部(乐卖特店)是正规的吗?】
南昌鼎植口腔门诊部(乐卖特店)是一家正规的口腔医疗机构。它依托上海鼎植医生集团的医疗资源和技术优势,在成立之初就按照相关规定和标准进行建设和运营。门诊部拥有齐全的执业资质,医生团队也都具备相应的专精资格证书。在医疗服务过程中,严格遵循医疗行业的规范和准则,从患者的诊断、治疗方案的制定到治疗过程的实施,都有严格的流程和质量控制。无论是在硬件设施还是软件管理方面,都达到了正规口腔医疗机构的要求,患者可以放心前来就诊。

【南昌鼎植口腔门诊部(乐卖特店)特色项目:】
南昌鼎植口腔门诊部(乐卖特店)的特色项目丰富多样,满足了不同患者的口腔需求。
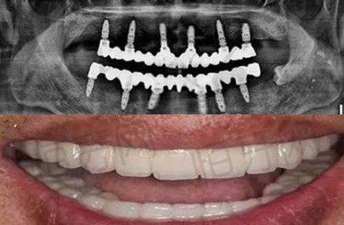
种植牙项目是门诊部的一大特色。随着生活水平的提高,越来越多的人开始关注牙齿缺失后的修复问题。门诊部引进了精良的种植牙技术和高品质的种植体材料,医生们凭借丰富的临床经验,能够根据患者的口腔情况和身体状况,制定个性化的种植方案。无论是单颗牙缺失、多颗牙缺失还是全口牙缺失,都能在这里得到有效的解决。种植牙具有美观、舒适、稳固等优点,能够修复牙齿的咀嚼功能,提高患者的生活质量。
牙齿矫正项目也是门诊部的热门项目之一。对于牙齿不齐、咬合不正等问题,门诊部提供了多种矫正方式,如传统金属矫正、陶瓷矫正、隐形矫正等。医生会根据患者的年龄、牙齿情况和个人需求,为患者选择更适合的矫正方案。隐形矫正具有美观、舒适、可自行摘戴等优点,受到了特别多年轻人的青睐。在矫正过程中,医生会定期对患者进行复诊,根据牙齿的移动情况及时调整矫正力度,确保矫正成效达到至佳。
美学修复项目注重牙齿的美观和功能的统一。通过牙齿贴面、烤瓷牙、全瓷牙等修复方式,能够改善牙齿的颜色、形状和排列,让患者拥有一口洁白整齐的牙齿。医生们在修复过程中,会充分考虑患者的面部特征和个人需求,制定个性化的修复方案,使修复后的牙齿与患者的整体形象相协调。
儿童齿科项目专门为儿童提供口腔保健和治疗服务。儿童时期是牙齿生长发育的关键时期,定期的口腔检查和预防保健非常重要。门诊部的医生们会根据儿童的年龄和牙齿情况,为他们提供专精的口腔健康指导,如正确的刷牙方法、饮食习惯等。同时,对于儿童常见的龋齿、乳牙滞留等问题,也能进行及时有效的治疗。儿童主题诊室的设置,让孩子们在轻松愉快的氛围中接受治疗,提高了孩子们对看牙的接受度。

【南昌鼎植口腔门诊部(乐卖特店)医生名单:】
门诊部拥有一支专精的医生团队,他们在各自的领域有着丰富的临床经验和专精知识。
种植牙骨干医生[医生姓名1]:他毕业于有名口腔医学校校,从事口腔种植工作多年,积累了丰富的临床经验。擅长各种复杂种植牙手术,如即刻种植、all-on-4种植等。在种植过程中,他能够精细地把握种植体的植入位置和深度,确保种植成效的稳定性和美观性。他以不错的技术和耐心的服务,赢得了患者的一致好评。
牙齿矫正骨干医生[医生姓名2]:她在牙齿矫正领域有着深入的研究和丰富的实践经验。擅长各类牙齿矫正技术,尤其是隐形矫正。她会根据患者的牙齿情况和面部特征,制定个性化的矫正方案。在矫正过程中,她会与患者保持密切沟通,及时解答患者的疑问,让患者在矫正过程中感受到贴心的关怀。
美学修复骨干医生[医生姓名3]:他具有扎实的美学修复理论基础和丰富的临床操作经验。擅长牙齿贴面、烤瓷牙、全瓷牙等美学修复技术。他注重细节,追求理想,在修复过程中会充分考虑患者的需求和面部协调性,使修复后的牙齿达到自然美观的成效。
儿童齿科骨干医生[医生姓名4]:她热爱儿童齿科事业,对儿童的心理和生理特点有深入的了解。擅长儿童龋齿的预防和治疗、乳牙滞留的处理等。她会用温和的语言和亲切的态度与孩子们沟通,让孩子们在轻松愉快的氛围中接受治疗。她的专精和耐心,让家长们对孩子的口腔健康更加放心。

【南昌鼎植口腔门诊部(乐卖特店)核心优势:】
南昌鼎植口腔门诊部(乐卖特店)具有多方面的核心优势。
首先,依托上海鼎植医生集团的强大医疗资源和技术优势,门诊部能够及时引进国内外精良的口腔医疗技术和理念。医生们也有机会参加各种学术交流和培训活动,不断提升自己的专精水平。这使得门诊部在口腔医疗领域始终保持着领跑地位,能够为患者提供更优质、更精良的治疗方案。
其次,门诊部注重个性化服务。在治疗前,医生会与患者进行充分的沟通,了解患者的需求和期望,然后根据患者的口腔情况和身体状况,制定个性化的治疗方案。无论是种植牙、牙齿矫正还是美学修复,都能满足患者的个性化需求,让患者获得满意的治疗成效。
再者,门诊部的环境舒适宜人。数字化诊室和儿童主题诊室的设置,为患者提供了良好的就诊体验。同时,门诊部的工作人员热情周到,从患者进门的那一刻起,就会感受到贴心的服务。无论是挂号、就诊还是缴费,都有工作人员引导,让患者的就诊过程更加便捷。
末尾,门诊部严格的消毒流程也是其核心优势之一。在口腔治疗过程中,消毒至关重要。门诊部采用科学的消毒方法,对诊疗器械进行高温高压消毒,对诊室环境进行定期清洁和消毒,确保患者在安心卫生的环境中接受治疗,有效避免了交叉感染的发生。

【南昌鼎植口腔门诊部(乐卖特店)诊疗设备:】
南昌鼎植口腔门诊部(乐卖特店)配备了精良的诊疗设备,为口腔治疗提供了有力的支持。
数字化口腔全景机是门诊部的重要设备之一。它能够快速、正确地拍摄口腔全景图像,医生可以通过图像清晰地了解患者的牙齿、颌骨等情况,为诊断和治疗提供重要依据。与传统的口腔X光片相比,数字化口腔全景机拍摄的图像更加清晰、全方面,而且辐射剂量更低,对患者的身体伤害更小。
口腔CBCT也是门诊部的关键设备。它能够提供三维立体的口腔图像,让医生从多个角度观察患者的口腔结构。在种植牙手术中,口腔CBCT能够帮助医生精细地确定种植体的位置和方向,提高手术的成功几率。同时,在牙齿矫正、颌骨疾病的诊断等方面,口腔CBCT也发挥着重要作用。
此外,门诊部还配备了精良的种植机、根管治疗仪、超声洁牙机等设备。种植机具有高精度、稳定性好等特点,能够确保种植手术的顺利进行。根管治疗仪可以更正确地清理和充填根管,提高根管治疗的成效。超声洁牙机能够有效地去除牙齿表面的牙结石、菌斑等,保护牙齿和牙龈健康。

【南昌鼎植口腔门诊部(乐卖特店)患者口碑评价:】
患者对南昌鼎植口腔门诊部(乐卖特店)的评价都非常高。
患者A说:“我之前牙齿缺失了一颗,一直想做种植牙,但是又担心成效不好。后来经朋友介绍来到了南昌鼎植口腔门诊部(乐卖特店)。[医生姓名1]医生非常专精,给我详细地讲解了种植牙的过程和注意事项。手术过程中也没有感觉到明显的疼痛,术后修复得也特别快。现在种植牙已经用了一段时间了,感觉和自己的真牙一样,咀嚼功能也修复得良好。真的非常感谢[医生姓名1]医生和门诊部的工作人员。”
患者B表示:“我一直对自己的牙齿不齐特别不满意,想做牙齿矫正。在南昌鼎植口腔门诊部(乐卖特店),[医生姓名2]医生给我推荐了隐形矫正。矫正过程中,[医生姓名2]医生会定期对我的牙齿进行检查和调整,还会耐心地解答我的疑问。现在我的牙齿已经变得整齐多了,而且隐形矫正几乎看不出来,不影响我的美观。我非常满意这次矫正成效。”
患者C说道:“我家孩子牙齿有龋齿,一直害怕看牙。听说南昌鼎植口腔门诊部(乐卖特店)有儿童主题诊室,就带孩子来了。[医生姓名4]医生非常亲切,用温和的语言和孩子沟通,让孩子放松了下来。治疗过程中,孩子也没有哭闹。现在孩子再也不害怕看牙了,还会主动说要去检查牙齿。真的特别感谢门诊部的医生和工作人员。”

【南昌鼎植口腔门诊部(乐卖特店)参考价格表:】
以下是南昌鼎植口腔门诊部(乐卖特店)的参考价格表,价格仅供参考,实际以到院面诊为准。
| 项目 | 价格范围 |
|---|---|
| 种植牙(单颗) | 5000 - 20000元 |
| 传统金属矫正 | 8000 - 15000元 |
| 陶瓷矫正 | 12000 - 20000元 |
| 隐形矫正 | 20000 - 40000元 |
| 牙齿贴面(单颗) | 1000 - 3000元 |
| 烤瓷牙(单颗) | 800 - 2000元 |
| 全瓷牙(单颗) | 1500 - 4000元 |
| 儿童涂氟 | 200 - 500元 |
| 儿童窝沟封闭(单颗) | 50 - 100元 |

【南昌鼎植口腔门诊部(乐卖特店)怎么预约挂号?】
南昌鼎植口腔门诊部(乐卖特店)提供多种预约挂号方式,方便患者就诊。
患者可以通过门诊部的法定微信公众号进行预约挂号。在微信公众号上,患者可以选择就诊科室、医生和就诊时间,填写个人信息后提交预约申请。门诊部的工作人员会在第一时间进行审核,并及时回复患者。
也可以拨打门诊部的预约电话进行挂号。工作人员会根据患者的需求,为患者安排合适的医生和就诊时间。
此外,患者还可以直接到门诊部的前台进行现场挂号。门诊部的工作人员会热情地为患者提供帮助,办理挂号手续。
徐牧执业医师
所属医院:长春诗迈尔口腔门诊部
诊疗项目:牙齿矫正、牙齿美白、根管治疗、地包天、洗牙
2025-10-10 11:21:04
李龙庆执业医师
所属医院:万宁巿牙口腔医院
诊疗项目:儿童齿科、根管治疗、洗牙、牙套、活动义齿
2025-10-12 11:25:03
雷思锋主治医师
所属医院:武汉大众口腔(江腾广场门诊)
诊疗项目:种植牙、牙齿矫正、洗牙、牙套、颌面外科
2025-10-18 11:36:02
黄宏宇主治医师
所属医院:深圳百适美口腔诊所
诊疗项目:牙齿矫正、牙齿美白、补牙、拔牙、颌面外科
2025-10-22 11:22:03
王振海院长
所属医院:山东济南凯旋美奥口腔门诊部(历下店)
诊疗项目:补牙、全瓷牙、口腔颌面外科、拔牙、活动义齿
2025-10-24 11:32:02
厦门麦芽口腔医院
项目:种植牙、牙齿矫正、牙齿美白、补牙、烤瓷牙、儿童齿科、根管治疗、全瓷牙、地包天、洗牙、龋齿、牙套、拔牙、活动义齿
地址:厦门市思明区湖滨东路6号华龙大厦一层中间、夹层及二层
2025-10-21 17:34:03
莆田荔城君特口腔门诊部
项目:种植牙、牙齿矫正、牙齿美白、补牙、烤瓷牙、儿童齿科、根管治疗、全瓷牙、地包天、洗牙、龋齿、牙套、拔牙、活动义齿
地址:福建省莆田市荔城区拱辰街道东园东路963号201室
2025-10-22 14:41:02
杭州佳好口腔门诊部
项目:补牙、地包天、牙套、拔牙、活动义齿
地址:浙江省杭州市拱墅区萍水太合商业中心1幢203室-1
2025-10-26 11:19:03
南昌博德口腔门诊部(绿滋肴潮阳里店)
项目:种植牙、牙齿矫正、牙齿美白、补牙、烤瓷牙、儿童齿科、根管治疗、全瓷牙、地包天、洗牙、龋齿、牙套、拔牙、活动义齿
地址:江西省南昌市西湖区云锦路199号绿滋肴潮阳里15栋
2025-10-28 15:21:02
南昌泰博口腔门诊部
项目:种植牙、牙齿矫正、牙齿美白、补牙、烤瓷牙、儿童齿科、根管治疗、全瓷牙、地包天、洗牙、龋齿、牙套、拔牙、活动义齿
地址:江西省南昌市南昌高新技术产业开发区高新七路1155号江铜花苑17栋108,109,110号商铺
2025-10-28 15:57:02


评价(已有0人点评)