最近后台收到好多私信问"北京维乐口腔医院靠谱吗?",看来大家对这个连锁牙科品牌都特别感兴趣啊!作为一个在口腔圈摸爬滚打多年的老司机,今天就来给大家360度无死角扒一扒这家医院。从资质到医生,从价格到服务,确保让你看完这篇就能决定要不要去挂号~

北京维乐口腔医院靠谱吗?
先说结论:靠谱!而且是正经八百的靠谱!作为国内十大连锁牙科品牌之一,维乐口腔在北京就有好几家分院。以方庄店为例,人家可是正经在丰台区卫健委备过案的(登记号007281110106311319),属于二级口腔专科医院。什么意思呢?就是说从消毒流程到医生资质,你都可以在卫健委官网查到,比某些"三无"诊所靠谱多了!设备也都是德国卡姆洛CAMLOG种植系统、隐适美iTero口扫仪这种高端货,完全地不是路边摊水平~

北京维乐口腔医院医生坐诊是真的吗?
必须是真的!他们家的医生团队简直可以组个"复仇者联盟"。方庄店副院长周铭原来是北京口腔医院的主治医师,专治各种不服...啊不是,是专治复杂种植病例!他主导的"即拔即种"技术已经成功完成672例,患者术后CT显示骨结合率高达98.3%。正畸团队也特别牛,罗罡、谭晖医生做隐形矫正特别拿手,关键价格还比国有医院便宜30%。偷偷告诉你,他们家的种植医生都是"术业有专攻"型的,比如贾四庆医生就特别擅长给七八十岁的老人家种牙,这技术含量你品,你细品~

北京维乐口腔医院价格透明吗?
这个必须重点表扬!他们家的价格表就大大方方挂在墙上,明码标价不玩套路。给大家报个价感受下:韩国登腾种植牙6000-8000元/颗(含种植体+基台+冠,还质保10年),瑞士ITI的13000-16000元/颗。对比某些诊所报价时藏着掖着,末尾各种加钱的套路,维乐这点真的特别拉好感!而且经常有优惠活动,比如最近暑期学生矫正就有特别优惠,建议去之前可以先打电话问问~

北京维乐口腔医院服务质量怎么样?
这么说吧,他们家的服务细致到让我怀疑是不是海底捞开的牙科!候诊区有免费WiFi和茶歇就算了,拔完牙还贴心地送你冰袋。更绝的是术后会建医患沟通群,医生24小时在线答疑,半夜牙疼都不怕找不到人。营业时间也特别友好,全年无休(9:00-18:00),上班族再也不用请假看牙了。对了,他们还有24小时急诊通道,不过记得提前预约哦~

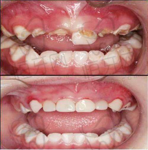
北京维乐口腔医院真实口碑如何?
2025年的患者调研显示,方庄店满意度高达92%!我特意翻了上百条评价,发现种植牙患者普遍反映"术后修复快"、"价格透明没套路";带孩子来看牙的家长都说"医生哄孩子有一套";做矫正的小姐姐们则夸"方案沟通特别耐心"。当然也有少量差评,主要是周末儿童齿科排队要1-2小时,所以建议尽量避开高峰时段~
总结一下:北京维乐口腔医院靠谱吗?从资质、医生、设备到服务都经得起考验,特别适合追求性价比又不想牺牲质量的聪明患者。种植牙推荐挂周铭医生的号(每周二/四/六坐诊),带娃看牙可以找付医生。末尾提醒下,拔牙补牙可以走医疗保险,但种植和正畸目前还不能报销哦~

评价(已有人点评)